Veneers Nashville, TN
“A wonderful dental practice.”
– Sandra, 5-Star Review

- Partnering With Macstudio, a World-Class, Award-Winning Lab
- Exclusively Using Pressed Glass-Ceramic for Durable Realism
- Browse Dozens of Stunning Before-and-After Veneer Cases


We have 450+ 5-star
Google reviews.
Several of these reviews were posted by
happy veneer patients.
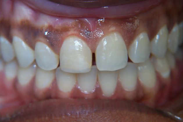
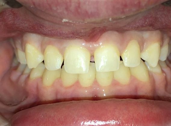
Our Work Speaks for Itself

Before

After
With one streamlined procedure, we were able to address spacing issues, stubborn discoloration, and teeth that appeared short and irregularly shaped. The result is nothing short of transformative!
You Deserve Elite Care
Contact Clint Newman, DDS

If you are unhappy with the way your teeth look, we can transform your smile and raise your self-confidence with porcelain veneers. In addition to being the official cosmetic dentists for the Tennessee Titans, Dr. Newman and Dr. Underwood are members of prestigious organizations, including:
- American Dental Association
- Fellowship of Christian Athletes
- Nashville Dental Society
- American Academy of Cosmetic Dentistry
To learn about how our dentistry practice can meet your needs, request a consultation with our dentists in Nashville online or call us:
We Maximize Veneers' Benefits To Enhance Your Smile for Years to Come
Unbelievably Natural-Looking Results
Dental veneers are made from medical-grade porcelain that closely replicates the shine, texture, and color of your natural teeth. Each veneer placed by Dr. Clint Newman and Dr. Thomas Underwood, his esteemed associate, is customized to your unique features to deliver the most transformative yet natural-looking results.
An Incredibly Versatile Treatment
Porcelain veneers are a popular cosmetic dentistry procedure that can address multiple concerns at once. Whether you have stains, chips, gaps, or a combination of several imperfections, veneers can help give you a beautiful smile. Thanks to their versatility, they are often included in our custom smile makeovers.
Long-Lasting Outcomes
Thanks to advancements in dentistry, porcelain is becoming increasingly strong and durable without any sacrifice in aesthetics. With proper care, porcelain veneers can last a decade or longer. Our Nashville practice uses only the most trusted, advanced materials to create our restorations.
Results in Just Two Appointments
Veneers can transform your smile in just two visits. While orthodontic treatment needs several months or even years to correct crowded or gapped teeth, veneers can address these concerns in a fraction of the time. This can make veneers a great option for patients with an important upcoming event such as a wedding, graduation, or speaking engagement.
Why Do Our Veneers
Look So Lifelike?

These thin shells of dental ceramic are placed on the front surfaces of your teeth to conceal aesthetic flaws. Porcelain veneers are made using medical-grade porcelain that is incredibly durable and natural-looking.
If you take a close look at your teeth, you will notice that the enamel has translucent qualities. In other words, some light is able to pass through them. Porcelain also has a translucent surface, making the material well-suited for use in dental work.
Additionally, porcelain can be color-matched to suit the patient’s preferences. At our practice, we can match the shade of the porcelain to your teeth to produce natural-looking results. If your teeth are affected by stains, or if you prefer a whiter appearance, the restorations can be made in a purer shade of white. You can also elect to undergo professional teeth whitening beforehand for a more dramatic enhancement.
Hear From a Veneer Patient “I’m grateful for them giving me my smile back.”
“'Just finished a series of crown and veneer repairs from mistakes other dentists made, that were so expensive and didn’t last long. Dr Underwood has been a part of my life since childhood in the early 90s and he is fantastic. Dr Newman is incredibly nice professional and the energy is uniquely positive and safe. Dr Newman and Underwood are cutting edge and experienced. You leave looking great and feeling respected. I’m grateful for them giving me my smile back." – Clayton, 5-Star Review

Trust the Official Dentist
of the Tennessee Titans
Professional athletes like the Tennessee Titans put their health, confidence, and well-being first so they can perform at their best. Part of that includes taking care of their smiles. Dr. Newman is proud to be the Official Dentist of the Tennessee Titans. See for yourself why they choose our team for an unparalleled standard of care.
Get Started Today
by Scheduling Your First Visit

Do you have an important event coming up, such as a wedding, birthday, or graduation? Our cosmetic dentists can help you achieve a beautiful smile in just two office appointments. To get started, request a consultation online or call our Nashville, TN, office.
Do You Qualify for This Treatment?
During your first visit to our Nashville, TN, office, Dr. Newman or Dr. Underwood will conduct a full evaluation of your oral health, overall health, and medical history to ensure that you are a good candidate for this treatment. To qualify for treatment, you should:
Be in Good Oral Health
Before undergoing any cosmetic treatment, you should have a healthy smile. If you have cavities, gum disease, severe bite misalignment, or other oral health issues, our dentists will need to resolve them prior to moving ahead with cosmetic treatment.Have Healthy Enamel
To make room for your veneers, one of our dentists will need to remove some of your enamel during the preparation phase of the treatment. Therefore, you should have enough enamel to protect the tooth following this alteration.Manage Teeth Grinding
Although porcelain is very strong, the material is not indestructible. If you grind your teeth excessively, it can increase the risk of fracturing your restorations. In some cases, an oral appliance can help. Dr. Newman or Dr. Underwood can fabricate a custom oral appliance that can be worn during sleep to protect your restorations from excessive force.
Practice Good Oral Hygiene
Although porcelain is resistant to stains and decay, your surrounding teeth are not. In order to maintain the results of your procedure, you will need to commit to a good oral hygiene routine after treatment. Our cosmetic dentists will instruct you on how to care for your new veneers to ensure that they look great and last as long as possible.Have Correctable Issues
These thin custom shells can treat a wide range of cosmetic concerns. But if you suffer from pronounced misalignment or severely crooked or gapped teeth, you might be a better candidate for other treatments, such as Invisalign.
Maintain Realistic Expectations
Veneers will need to be replaced at some point in the future, and teeth prepped for traditional veneers will always require some kind of restoration. If you are comfortable with this aspect of veneers, we can move ahead with treatment.
Call Us Today
To Find Out If You Are a Candidate

Interested in enhancing your smile? Our cosmetic dentists can assess your oral health and provide honest recommendations about whether porcelain veneers can help you. Find out if you are a good candidate by requesting a consultation online or calling our Nashville, TN, practice.
An Incredibly Strong Solution
*According to research published by the British Dental Association.
Because of its lifelike appearance and durable qualities, porcelain is one of the most popular materials used in dentistry. It is commonly used to create crowns and dental bridges. Dental restorations made of porcelain can be expected to last 10 years or more. However, the lifespan of your restorations will depend on how well you care for your teeth and gums, daily wear and tear due to biting and chewing, and other factors. Patients who maintain a good oral health care routine, avoid hard and crunchy foods, and do not chew on their fingernails or other objects can prolong the life of their porcelain restorations.
Comparing Veneers and Dental Bonding
One of the most commonly used alternatives to porcelain veneers is dental bonding.
Although dental bonding is reversible and more affordable, it does not offer the same strength, long-lasting results, or lifelike outcomes as veneers. If these benefits are important to you, dental veneers may be a better investment.

Life-Changing Results In Just One Month
“Absolutely fantastic. I had a ton of cosmetic issues (gaps in teeth, my front 4 teeth ended higher than the rest, and one was even heavily cooked) it’s all fixed and it’s an absolute game changer. Literally worth every penny and they were able to do all of it within a month which was nuts.” – Will, 5-Star Review
We Use A State-of-the-Art Approach for Outstanding Results
/https://d1l9wtg77iuzz5.cloudfront.net/assets/4877/297281/original.jpg?1585949533)
Although many dentists offer this treatment, most do not possess the level of training and attention to detail offered by Dr. Newman and Dr. Underwood.
We customize every step of the procedure to ensure consistently beautiful, natural-looking results. To begin, we will take a detailed impression of your smile to ensure that your new veneers fit precisely.
Our team uses only the most advanced materials to create durable, highly lifelike results. We offer three popular brands: MAC, IPS Empress® and IPS e.max®. All three brands are created from pressed glass-ceramic, which is as beautiful as stacked porcelain options of the past but much more durable. These materials come in a variety of shades to closely match your surrounding teeth and complement your facial features. During your in-office consultation, our cosmetic dentists will determine which brand is best suited to your needs.
Explore Highly Customized Treatment With Veneer Experts
Because we offer multiple brands of dental veneers, you can choose an option that fits your needs and goals. During your consultation, our dentists will patiently explain the benefits of each brand so that you can make an informed decision.
Schedule an appointment today by requesting a consultation online or calling our Nashville practice.
Traditional Veneers vs. LUMINEERS
When comparing porcelain veneers and LUMINEERS®, it is important for patients to understand their similarities and differences.
LUMINEERS is a brand of veneers that requires little to no alteration of the existing tooth structure. However, this treatment can result in a thicker tooth that may be more difficult to clean and floss. Additionally, LUMINEERS often have an opaque, unnatural appearance.
For our patients in the Nashville, TN, area, Dr. Newman and Dr. Underwood offer three premium materials that are superior to LUMINEERS, offering long-lasting, beautiful results tailored to your smile.

Designed and Placed in Two Appointments
Considering the dramatic results that can be achieved with this solution, the treatment process is fairly quick and simple. The preparation and placement are completed in two one-hour visits to our Nashville, TN, dental office. After the first visit, we will place temporaries, which will help to improve the appearance of your smile after your first appointment. About one week later, we will place your permanent veneers, completing your treatment. Although the procedure varies from patient to patient, here is what you can generally expect from start to finish:
A New Smile Is Closer Than You Think
Call Today

With the help of Clint Newman, DDS, you can achieve the smile you have always wanted in just two appointments. You can get started today by sending us a message or calling our practice.
How Much Do They Cost?
Clint Newman, DDS, offers affordable, transparent pricing on this advanced procedure. Our veneer cost ranges from $1,750 to $2,750 per tooth.
Get an Accurate Estimate by Contacting Our Office
Because the cost of this treatment varies from patient to patient, the only way to get an accurate estimate is to visit our Nashville, TN, office for a consultation. During the appointment, we can assess your smile and explain your options.
We're Always Available to Answer Your Questions
Because dental veneers are an investment, we understand that you may have questions or concerns. To help you feel informed, our dentists have compiled a list of helpful responses to the most frequently asked questions:
What are porcelain veneers?
Crafted from advanced dental ceramic, porcelain veneers are thin shells that fit over the front surfaces of your anterior teeth to conceal a range of cosmetic issues.
Who is a candidate for this treatment?
Patients with chips, cracks, discoloration, and minor misalignment can achieve a significant improvement in the appearance of their smile after treatment. There are certain conditions that can limit your candidacy for veneers. Dr. Newman will assess your oral health and determine the most effective treatment option for your needs.
What brands are offered at your Nashville practice?
We provide three brands: MAC, IPS e.max, and IPS Empress. All three brands utilize high-end materials for attractive results.
Can this solution treat all teeth?
Porcelain veneers are used to treat the anterior teeth (the teeth at the front of your smile). For the back teeth, we utilize alternative treatments, such as dental crowns, that can handle the force of your bite more effectively.
How long does it take to receive a porcelain veneer?
Generally, it takes about one to two weeks between making the impressions and receiving the final product from our partner dental laboratory.
What types of imperfections or conditions can be treated?
Porcelain veneers are highly versatile and can treat a range of cosmetic concerns, including crooked or overlapping teeth, misshapen teeth, gaps or spaces between teeth, severe discoloration or staining, disproportionate teeth, chips, cracks, and wear.
Is the treatment reversible?
In most cases, the results are considered permanent. During the procedure, Dr. Newman will change the structure of your teeth to properly place the ultra-thin shells. Without this process, they would appear bulky and unnatural. The alterations to your enamel make it necessary to have some kind of restoration in place at all times.
How long do they typically last?
These restorations can last 10 years or more. For some patients, they can last even longer. Their life expectancy depends on several factors, including proper maintenance.
What maintenance is required?
You can care for porcelain veneers the same way as your natural teeth: brush twice and floss at least once daily. We can also monitor the condition of your restorations and the health of your teeth at each six-month checkup.
What can I do to make sure they last?
Patients should avoid chewing hard non-food items (such as pens) and using your teeth as tools. It's important to remember that while your veneers are stain-resistant, your natural teeth are not. You can maintain the color and vibrancy of your results by limiting your consumption of dark-colored drinks, such as wine, coffee, tea, or soda. Tobacco products should also be avoided.
5 Stars From Another Happy Veneer Patient
“Great experience and extremely happy with the outcome. I just got 4 veneers for my upper front teeth. I should have done this a long time ago. Dr. Newman was friendly, extremely skilled and detailed oriented. I had total confidence in him and he delivered! I am thrilled and the outcome is very natural looking. Everything I had hoped for! The staff are extremely professional and friendly also.” – RD, 5-Star Review










