Full Mouth Reconstruction in Nashville, TN
Treating Complex Cases With Precision and Artistry

- Comprehensive full-arch smile restoration
- Advanced 3D diagnostics and digital planning
- Sedation options in a spa-like setting
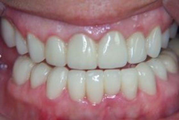
A Complete Smile Upgrade


What Is Full Mouth Reconstruction?
Full mouth reconstruction combines multiple restorative dentistry procedures to improve the health and function of your smile. In many cases, these treatments can also transform your appearance.
Full mouth reconstruction can address issues such as:
- Tooth Decay
- Gum Disease
- Damaged Teeth
- Missing Teeth
Nashville Patients Love Our Practice
"Such a pleasant experience! Beautiful office and the staff was very courteous and professional!" — Sean, 5-Star Review
What Could My Treatment Plan Include? Potential Full Mouth Reconstruction Procedures
Our Nashville, TN, dental office offers several options to restore oral health and function. Our dentists will listen to your concerns to determine which treatments will be best to meet your goals. Your full mouth reconstruction treatment plan could include:
Dental Fillings
Dental fillings are used to treat cavities. Your dentist will remove the decayed portion of a tooth and fill the hole that is left. This helps protect the integrity of the tooth by preventing the decay from spreading. Our dental fillings are tooth-colored to blend in with your surrounding teeth.
Dental Crowns
Crowns are porcelain caps used to restore a broken or decayed tooth. Your dentist will remove the damaged portion of your natural tooth, then place a crown that blends in seamlessly with surrounding teeth to give you a healthier, natural-looking smile. A dental implant can support a crown if a patient needs the entire tooth replaced.

Are You Ready to Restore Your Smile?
Contact Our Nashville Practice
Our state-of-the-art practice can handle every restorative dentistry need. Both Dr. Newman and Dr. Underwood have over 25 years of dental experience. They will listen to your oral health concerns to create a treatment plan customized to meet your goals. Both our dentists have an extensive history of producing award-winning smiles for their patients.
Don't waste time living in dental discomfort, pain, or embarrassment. Contact our Nashville, TN, practice today to request your consultation.
Virtually Anyone Can Be a Good Candidate
A full mouth reconstruction involves an extensive set of procedures, so it is important to be as informed as possible about the risks and requirements. Generally, patients who are candidates for full mouth reconstruction need to repair severe damage.
Patients experiencing one or more of the following problems may be candidates for this dental procedure:
Decaying Teeth
Tooth decay can pose a serious threat to your oral health. Cavities are usually just the first sign of decay. If left untreated, cavities can lead to a root canal infection and tooth loss. Full mouth reconstruction can address tooth decay and prevent it from getting worse.
Missing Teeth
Missing teeth can affect your oral function and overall oral health. For those who qualify, implants are typically the best solution to replace missing teeth and restore your smile.
Damaged Teeth
Severely damaged or worn teeth can create a misaligned bite and have a lasting impact on your oral health. Full mouth reconstruction can remove or replace a damaged tooth to keep your jaw in proper alignment.
One of our Nashville dentists will review the state of your teeth and gums during your consultation to determine if full mouth reconstruction is right for you.
What We Check During Your Consultation
The first step to full mouth reconstruction is a consultation at our Nashville, TN, practice to speak with either Dr. Newman or Dr. Underwood about your dental concerns. During this visit, our dentists will specifically assess the condition of your:
Full Mouth Reconstruction
vs. Smile Makeover
What Is the Difference?
Though they sound similar, a full mouth reconstruction focuses on the health of your smile while a smile makeover focuses on your smile's aesthetic.
Full Mouth Reconstruction
A full mouth reconstruction is implemented for the sake of your oral health. It can include dental fillings, crowns, and implants to prevent further damage and restore your smile.
Smile
Makeover
A smile makeover focuses on your smile's aesthetic appearance and is a combination of elective dental procedures like veneers, teeth whitening, and dental bonding.
Combining
the Two
Once your smile is healthy, our dentists can make cosmetic upgrades. Full mouth reconstruction cannot always fix concerns that require cosmetic dentistry, like veneers to hide staining.
Frequently Asked Questions About Full Mouth Reconstruction in Nashville, TN
Q. How much does full mouth reconstruction cost?
A. Because a full mouth reconstruction is fully customized to your unique needs, it is impossible to give an accurate quote without an initial consultation at our Nashville office. During your consultation, your dentist will craft your custom restorative treatment plan. We will then be able to provide you with an accurate quote so you can plan and budget.
Q. Does full mouth reconstruction hurt?
A. No. We will ensure you're completely comfortable before any treatment begins. For dentistry treatments like crowns and fillings, the area will be thoroughly numbed. Our Nashville dentists also offer sedation dentistry options for those who need an extra level of care.
Q. Can I undergo cosmetic dentistry treatments like veneers or whitening as part of my full mouth reconstruction?
A. This depends on your needs and whether your teeth are healthy enough to safely undergo cosmetic procedures. We want to ensure a healthy foundation before any cosmetic work. However, in many cases, restorative treatments like dental crowns can also improve the appearance of your smile. During your initial consultation, your dentist will discuss your goals and help determine if cosmetic treatments can be included as part of your custom treatment plan.
Have more questions about full mouth reconstruction?
"They strive for excellence."
Everyone at Dr. Newman's practice is professional, kind and compassionate. They strive for excellence. I highly recommend them.
View on GoogleI highly recommend Dr. Underwood. The entire office staff is welcoming, kind and extremely competent. It was by far the best dental experience I've ever had. Not only did they do everything they could to make sure I felt comfortable, but the work they did was outstanding. I've never had better pre and post care follow-up.
View on Google









