Dental Bridges Nashville, TN
“Cannot recommend Dr. Newman and his team enough!”
- Seamless Smile Restorations
- Cosmetic Expertise You Can Trust
- Advanced Digital Impressions
- 400+ 5-Star Reviews

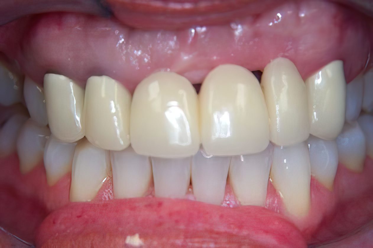
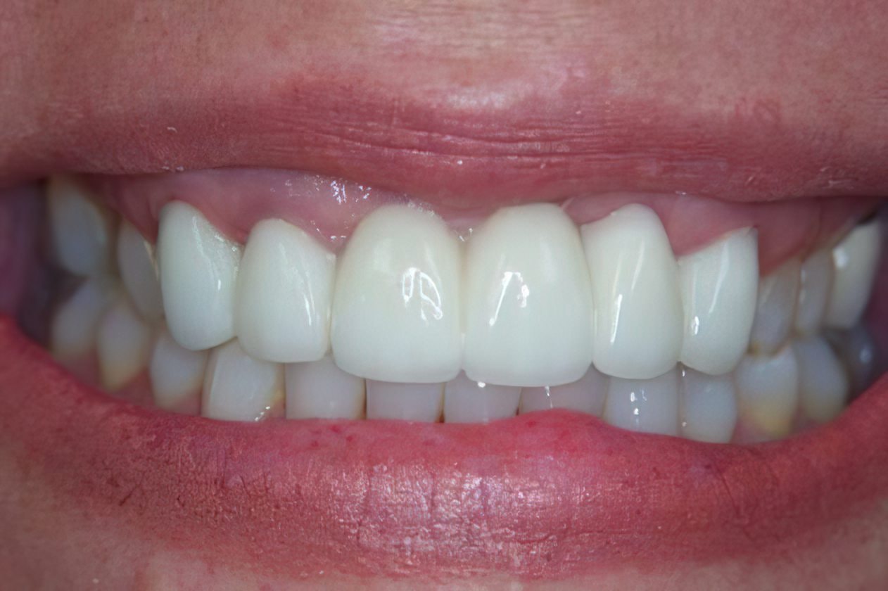
See What a Dental Bridge Can Do
Quality Dentistry in a Relaxing Office
Contact Us in Nashville to Get Started
The moment you step into our Nashville, TN, dentist's office, you will notice that it's not your average dental practice. We strive to provide a spa-like atmosphere where our patients feel relaxed during their visits. Our spacious, clean practice is also equipped with the latest technology and tools to help make your dental bridge treatment more comfortable and efficient.
If you want to experience the benefits a traditional or implant-supported dental bridge can offer, we invite you to request a consultation online or call our office in Nashville, TN:
Patients Choose Us for Quality Dentistry "Professional, educational, & caring."
I appreciate Dr. Newman and his staff and the care that I have received from them over the years. I have been a patient of Dr. Newman's since he entered the practice. I am happy to recommend them.
View on GoogleDr. Newman & his staff are very professional, educational & caring. They communicate every step of what they’re doing with the patient so there’s no misunderstanding of what’s happening! I absolutely trust in Dr. Newman & his staff!
View on GoogleMaking Your Dental Bridge Affordable
We believe every patient deserves a healthy, complete smile without unnecessary financial stress. While dental bridges are often covered at least in part by dental insurance, we also provide flexible options for those paying out of pocket.
- Insurance Assistance: Our team will review your benefits, file claims on your behalf, and help maximize any coverage available for your treatment.
- Financing: We accept CareCredit® financing, a third-party lender that can divide your costs into manageable monthly installments.
- Dental Savings Plan: We feature a Dental Savings Plan, an alternative to insurance that includes your twice-yearly cleanings and exams, and a 10% discount on additional treatments for one yearly fee.
- Transparent Pricing: You’ll receive a clear, upfront estimate before treatment begins — no surprises, no hidden fees.
Whether you choose a traditional or implant-supported bridge, we’ll work with you to find a financial solution that fits your needs.

On Your Way to a Complete Smile The Process of Receiving a Traditional Bridge
"Dr. Clint Newman's practice is more than a dentist's office. Every visit is a modern, technologically advanced experience that delivers top-tier dentistry in the utmost comfort."
Receiving an Implant-Supported Bridge
Receiving an implant-supported bridge will require dental implant placement and a healing period of three to six months. After your implants have fused with your jawbone, your dentist will attach abutments to your implants. After another short healing period of four to six weeks, you can return to our Nashville office so our dentist can attach your dental bridge.
Dental implants offer a range of benefits and may be the best dentistry solution for your needs. Dental implants prevent the jawbone atrophy that occurs after tooth loss, provide your bridge with a more secure foundation, and can last a lifetime when cared for properly. Our dentist can place your implants at our comfortable office in Nashville, so there's no need for a referral to a specialist.
Take the Next Step Toward a Complete Smile

Living with missing teeth can make everyday tasks like eating, speaking, and smiling more difficult. A dental bridge offers a simple, reliable way to restore function and appearance, often in just a couple of visits. Our Nashville team is committed to providing advanced, comfortable care so you can move forward with confidence.
Schedule your consultation today and let us show you how seamlessly a bridge can transform your smile and quality of life.
Caring for Your Bridge
Bridges typically last for five to seven years, though they can last for more than 10 years with excellent care. You can maintain your dental crowns and pontics much like you care for your natural teeth. Our dentist recommends:
Practicing Good Dental Hygiene
Brush your teeth and dental bridge twice a day with a soft-bristle toothbrush and nonabrasive toothpaste. Floss your natural teeth as you would normally, and clean under your dental bridge with a floss threader or super floss. Mouthwash can also contribute to a healthy mouth.
Being Mindful When Eating
Chewing hard or sticky foods like steak, ice, and caramel can damage your bridge or cause it to become dislodged. We recommend using your natural teeth to chew these foods to avoid damaging your dental bridge. We also recommend not using your teeth or bridge as tools to open packages, hold pens, etc.
Attending All Dental Appointments
Our dental team can help maintain the health of your smile with six-month checkups. During these visits, your dentist will check your dental bridge and let you know if it should be replaced. He will also check each tooth to make sure your oral health is in top condition.
What More Patients Have to Say "Nothing but exceptional experiences."
Michelle, a miracle worker is kind, and consciously takes care of my dental health, visit to visit. My teeth are difficult, and M never under appreciates and appears genuinely joyful to see me and goes above and beyond to take care of me as a whole. The office, whether I call to book an appointment or reschedule an appointment takes gracious time, along with patience and kindness to make it all work out. Love all.
View on GoogleI’ve been going to Dr Underwood/Newman for over 16 years and nothing but exceptional experiences. Not once have I ever ran into a situation that I haven’t been absolutely delighted walking out with clean teeth and grateful to have a dentist community I can trust. I have moved 5 different locations in Nashville over those years and still look forward to my trips to green hills for my dentist visits at Clint Newman, DDS.
View on Google





