Veneers Cost Nashville TN
A High-ROI Smile Upgrade

- Between $1,750 and $2,750 per veneer
- Advanced materials: MAC®, IPS Empress®, IPS e.max®, and more
- Official Dental Care Provider of the Tennessee Titans
- Modern, comfortable care with state-of-the-art technology

Veneers By Clint Newman Pay Beautiful Dividends


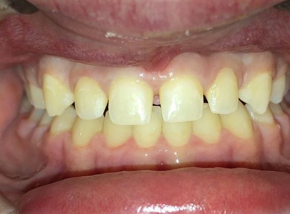
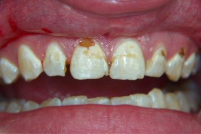
With decades of cosmetic expertise and only the finest materials, Dr. Clint Newman takes smiles from good to absolutely unforgettable with veneers in Nashville, TN. He creates outcomes that don’t just look natural; they look extraordinary.
If You're Investing In Veneers Clint Newman Is the Only Choice
Elite Experience & Proven Skill

A broken or decayed tooth can cause pain, make chewing difficult, negatively impact your speech, and affect your self-esteem. Utilizing the same custom-made, high-quality ceramics from Macstudio laboratories that we use for veneers, our cosmetic dentist in Nashville, TN, can provide a crown that repairs and protects your smile. Dr. Newman uses IPS Empress® and e.max for crowns at our practice. These advanced glass-ceramic materials are designed to mimic the translucency of natural teeth and reflect light in a way that achieves very lifelike results. To provide you with the highest level of protection, both the IPS Empress and e.max ceramics have been refined for greater strength and durability when compared to other porcelain materials.
Partnerships with the Best Labs

World-class results require world-class materials. Dr. Newman spares no expense in partnering only with leading dental laboratories known for precision, artistry, and cutting-edge materials. Every veneer is crafted to exact specifications, blending seamlessly with natural teeth while delivering unmatched durability.
Results That Redefine Smiles

Patients come to Dr. Newman because they want more than “better teeth." They want confidence that shows in every photo, every laugh, every conversation. Whether repairing chips, masking discoloration, or creating a full smile makeover, his veneers consistently produce stunning, natural-looking results that make other cosmetic work look ordinary.
Get Your Estimate
& Plan Your Unstoppable New Smile

Dr. Clint Newman is a nationally recognized leader in cosmetic dentistry, and his Nashville practice is the destination for patients seeking world-class veneers. Known for transforming smiles with precision and artistry, Dr. Newman invites you to discover why veneers are the most powerful, durable, and confidence-boosting cosmetic solution available today.
From the moment you arrive at our state-of-the-art dental boutique, you’ll see why patients describe the experience as unlike any other. Our team is committed to elite care, combining advanced technology with a passion for creating stunning results that truly last.
Every veneer we design is a custom work of art, carefully crafted from the finest materials and placed with unmatched expertise. We’ve seen firsthand how a new smile can elevate a patient’s confidence, and we’re ready to deliver that same transformation for you. Request your consultation, where we can provide an estimated cost of treatment and begin planning your new era of winning smiles:
Your Goals Are Dr. Newman's Focus
"Dr. Newman did an exceptional job with my veneers. I had very specific, unique needs, and he gave me exactly what I had asked for." — Jesse, 5-Star Review
Smile Enhancement That Pays You Back Every Day
If the initial cost of veneers seems high to you, it's important to remember that these thin, porcelain shells are a long-lasting investment in your smile. If you have a tooth that causes you to hide your smile out of embarrassment, a dental veneer can obscure that imperfection for up to a decade.
Don't Wait Any Longer Schedule a Consultation Today
At the dental practice of Dr. Newman in Nashville, TN, veneer treatment usually costs between $1,750 and $2,750 per veneer. Costs vary from case to case based on the quality of the materials used, the number of teeth being covered, and the extent of the dental work that's required to prepare the tooth.
If you are curious what porcelain veneers will cost you, the best way to find out is to schedule a consultation with Dr. Newman. During this meeting, the dentist or a member of his team will examine your smile and provide an estimate of the cost of cosmetic dentistry with porcelain veneers.
To schedule a consultation, you can fill out our online form or call:

Porcelain Veneer Options
Macveneers
Macveneers are modern dental veneers that are made of high-quality ceramics. Because of the integrity of the porcelain, Macveneers last much longer than traditional veneers and require less maintenance during their lifespan.
Additionally, technicians are able to fabricate Macveneers with more precise color-matching, so the porcelain shell looks just like a natural tooth and blends seamlessly with your newly enhanced smile. Because of their durability and high-quality, Macveneers are one of the more costly brands on the market.

IPS Empress Veneers
IPS Empress Veneers are crafted from IPS Empress Esthetic, an advanced composite material that produces extremely natural-looking veneers, onlays, inlays, and crowns. In terms of aesthetic results, it is difficult to find a better product than the IPS Empress veneers.
These veneers can conceal a flawed tooth while looking natural in any lighting and from any angle. Additionally, the IPS Empress Esthetic material is impressively durable and can be used in restorations that last for many years. Because of the high quality of this material, these veneers are more costly than traditional veneers.

IPS e.max Veneers
IPS e.max is another advanced, composite material used to create all kinds of dental restorations. When used for veneers, IPS e.max creates aesthetically pleasing and durable results. Like other premium veneers, the color shading capabilities with IPS e.max are far superior to the capabilities of traditional porcelain.
If you have a tooth with embarrassing cosmetic flaws, dental veneers made with IPS e.max can restore a beautiful, symmetrical smile. These products have an extremely high success rate and are used by elite cosmetic dentists all over the world. Again, because of their superior quality, the IPS e.max variety will cost more than traditional veneers.

“My teeth look and feel amazing.”
"I've seen Dr. Newman for both standard (cleanings, cavity fill) and cosmetic dentistry (veneers) and I have nothing but great things to say about this practice. My teeth look and feel amazing. AND the staff are so nice. I am SO thankful I found them." — Kate, 5-Star Review
Discover What Veneers Can Do for You

If you think porcelain veneers might be the right solution for you, you owe it to yourself to work with a high-end dental practice that will produce excellent results. Dr. Clint Newman in Nashville, TN, is a high-tech dental boutique that prioritizes patient comfort and convenience.
The level of luxury and personalized care at our practice is well worth the cost of treatment. To find out exactly how much porcelain veneers will cost you, schedule a consultation with Dr. Newman today by filling out our online form or calling:
"This is the perfect dentist!"
"Amazing experience! This by far the best dentist I have been to. Dr. Newman and his team have done excellent work on my smile. Highly recommend. And if you are looking to get veneers this is the perfect dentist!" — Ben, 5-Star Review
Go Big With a Complete Smile Makeover
For patients with multiple cosmetic issues in their smile, Dr. Newman performs complete smile makeovers. A smile makeover is a personalized treatment plan that combines multiple cosmetic procedures to produce bright, symmetrical, healthy-looking smiles. Treatments that can be included in a smile makeover include porcelain veneers, dental bonding, dental crowns, teeth whitening, and more.
If you are considering the cost of porcelain veneers, also consider the effects a smile makeover could have. In some cases, when multiple procedures are grouped together in this kind of treatment plan, we can discount some of the different treatments.









