Cosmetic Dentistry in Nashville, TN
“Dr. Newman is truly
the best.”
– Parris, 5-Star Review

- A Legacy of Cosmetic Excellence in Nashville
- State-of-the-Art Cosmetic Care in a Boutique Setting
- More Than 450 5-Star Reviews on Google Alone

Nashville Recommends Us

450+ 5-Star Reviews
Hear from patients who recommend our elite services to their friends and neighbors.
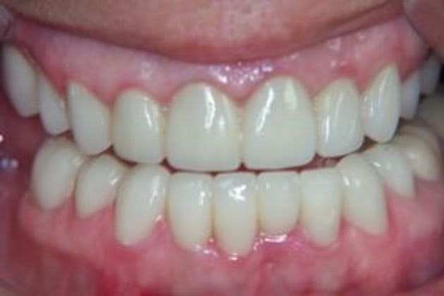
Can You Believe This Is the Same Smile?

Before

After
Before receiving treatment, this patient had discolored and uneven teeth. Thanks to high-quality materials and advanced cosmetic dentistry techniques, our dentist in Nashville, TN, was able to give the patient whiter, more evenly spaced teeth. The result is truly life-changing.
Ready for Your Transformation?
Book Your Free Consultation

We know you have plenty of veneer providers to choose from throughout Nashville, but when you partner with us, it’s a different type of experience altogether.
- Led by Dr. Clint Newman, a premier cosmetic dentist with 20+ years of experience
- Known for designing natural, camera-ready smiles for Nashville’s elite
- Digital impressions and advanced techniques for maximum comfort and precision
- Personally tailored treatment plans — never one-size-fits-all
- Trusted by patients who expect nothing less than exceptional results
It’s time to put yourself first and love your reflection every time you look in the mirror! Get started towards a more beautiful smile today.
It's Easy to Budget for Elite Cosmetic Dentistry
Thanks to our convenient payment options, there is no reason to settle for anything less than cosmetic treatment by the city's most renowned dental practice. In addition to cash payments, we accept:
CareCredit Financing
CareCredit® is the most popular third-party lender in dentistry because they make elective procedures like dental implants and veneers in Nashville, TN, easily affordable on virtually any budget. Depending on your credit score, they can help you take advantage of interest-free or low-interest financing.
Credit Cards
If you prefer to use an existing line of credit, we accept American Express, Discover, MasterCard, and Visa.
If you have any questions about CareCredit or other payment methods, please feel free to give us a call. We are also glad to explain these options during your visit to our office.
Porcelain Veneers Make It Possible to Completely Transform Your Smile
Porcelain veneers are practically a household name these days because of the many imperfections they can quickly address, giving your smile brilliant symmetry in just a couple of office visits. But not all veneers are crafted equally. The key to achieving the unforgettable results you deserve is to choose a dentist known for providing excellent outcomes.
Signature Cosmetic Treatments Available at Our Nashville, TN, Dental Office
Veneers
Veneers are an effective treatment to conceal chips, cracks, misaligned teeth, and discolorations. Our office works with Macstudio by MicroDental Laboratories to provide the most beautiful, natural-looking veneers available in cosmetic dentistry. Patients can choose between Macveneers, IPS Empress®, and IPS e.max® for their veneers. All three brands use pressed glass-ceramic, which is much more durable than traditional porcelain options. Our cosmetic dentists can help select the material for veneers that is best for your health and goals.
Teeth Whitening
Aging and food can change the color of your teeth. We offer in-office and at-home teeth whitening in Nashville, TN. Both cosmetic treatments use peroxide whitening gels that are applied directly to the teeth. The in-office treatment can whiten your teeth in just one visit, eliminating years of deep dental stains. Patients who use our at-home whitening kits use custom-fitted trays that are easy to fill and wear. No matter which option you choose, our teeth whitening treatments will lighten your teeth by several shades.
Smile Makeover
If you have several dental issues or you've neglected dental care for years, our dentists can combine multiple treatments to give you dramatic results. Although your time at our office may be longer, combining cosmetic dentistry treatments can rejuvenate your entire smile. A smile makeover in Nashville, TN, commonly includes teeth whitening, porcelain veneers, and dental bonding.
Qualifying for Treatment
Before you can undergo cosmetic dentistry treatments, our dentists will check to make sure you're in good oral health first. If you have gum disease, tooth decay, or severe malocclusion, Dr. Newman and Dr. Underwood will recommend restorative dentistry treatments first.
While you may have to undergo multiple dentistry treatments before you get your ideal smile, our dentists will ensure your smile is both healthy and aesthetically pleasing. Addressing oral health issues early can prevent serious issues like infection, tooth loss, or jawbone atrophy.
Take Your First Step to Your Ideal Smile
Contact our Nashville, TN, Dentistry Practice Today

Dr. Newman, his highly trained hygienists, and his skilled administrative staff all strive to provide the highest level of dental care. As a dentist who athletes depend on for dental care, Dr. Newman has built a reputation for producing high-quality dentistry results.
You don't have to be an NFL player, though, to get the same quality treatment as the Tennessee Titans from Dr. Newman. All you have to do is request a consultation online or call us.
Your Smile Can Be Your Best Asset When You Choose Cosmetic Dentistry by Client Newman, DDS
In an era when it's possible to change virtually any aspect of your appearance, it can be easy to overlook what a significant feature your smile can be. In fact, you could argue that it's the most important aspect of your appearance since it provides such a powerful complement to your other facial features. If you feel dissatisfied or self-conscious about your appearance, you owe it to yourself to request a consultation at our Nashville office so we can show you the capabilities of expert cosmetic dentistry.
The Cosmetic Treatment Process What to Expect at Our Nashville, TN, Office
It's important to keep in mind cosmetic dentistry requires a precisely customized approach to meet each patient's unique needs. Regardless of the specifics, let's look at some general steps you can expect from start to finish:
We offer sedation dentistry if you have anxiety or trouble staying still. This allows for a truly relaxing treatment experience.
Consider Dental Implants to Complete Your Smile

Dental implants are the most secure treatment for replacing a missing tooth. Like tooth roots, dental implants prevent jaw atrophy by stimulating growth in the jawbone.
Contact our Nashville office today to see if dental implants are right for you.











