Dental Crowns in Nashville, TN
“They wasted no time in taking care of me.”
– Omoruyi, 5-Star Review
- Custom Porcelain Crowns
- Cosmetic Dentistry Expertise
- Advanced Materials & Technology
- 400+ 5-Star Reviews

Need an Emergency Crown? We've Got You Covered
If you have a broken tooth, the last thing you want to do is wait around until the dentist can see you. Our dentist in Nashville, TN, is on-call to handle dental emergencies as they arise. We take pride in providing top-quality care as quickly as possible. Just give us a call, and we'll be ready to help you.
The Dental Care
You Deserve:
Request Your Consultation Today

If you need a dental crown, consult with our dentists in Green Hills. Dr. Newman and Dr. Underwood are renowned for their cosmetic and restorative dentistry results. Together, they are also members of the:
- American Dental Association
- Fellowship of Christian Athletes
- Nashville Dental Society
- American Academy of Cosmetic Dentistry
If you are struggling with pain or difficulty chewing due to damaged or decayed teeth, our dentists want to help. To find out if a porcelain crown is right for you, request an appointment or call us:
Discover the Advantages Custom-Made Crowns Can Repair & Restore Your Smile
Our dentists often recommend dental crowns because of their many benefits. When placed properly, crowns can:
Achieve a Strong, Confident Smile
Whenever possible, our dentists will attempt to preserve your natural tooth structure. By placing a crown over the remaining portion of the compromised tooth, our dentists can prevent further damage and prevent the need for an extraction. Plus, a crown can eliminate any pain or sensitivity that the damaged tooth is causing so you can bite and chew with confidence once again.
Last for Many Years
Crowns are made from medical-grade dental porcelain, which is a natural-looking ceramic material that is also incredibly sturdy. At our Nashville, TN, office, we use premium porcelain designed to withstand normal biting forces. In many cases, our crowns last up to a decade.
Seamlessly Blend In
Crowns have come a long way since the gold and metal restorations of the past. Modern porcelain crowns are highly realistic. Your dental crown will also be shade-matched to surrounding teeth to provide the most natural-looking results. Crowns can also be combined with other cosmetic dentistry treatments for the most dramatic results.
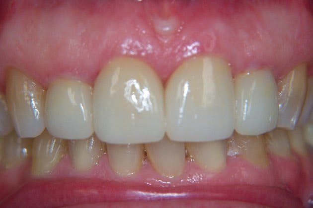
What Is a Dental Crown?

Dental crowns are often called "caps." These caps cover the entire tooth for the purpose of restoring teeth to their original shape and size. There are several different types of dental crowns, but IPS Empress® porcelain crowns are the most popular type offered at our Nashville, TN, dental office.
Thanks to the properties of porcelain, these crowns resemble your natural teeth in color and texture. Porcelain crowns are made to match the shape, size, and color of your teeth, giving you a natural-looking solution.
Additionally, crowns are highly durable and can last for many years. Dr. Newman and Dr. Underwood provide all-porcelain, metal-free crowns that look absolutely natural while providing excellent durability.
What Types of Concerns Can Crowns Treat?
Dental crowns can address many dental issues.
Extensive Damage & Decay
When a tooth is too severely damaged or decayed for a filling, inlay, or onlay, a crown is typically recommended to restore structure and function to the tooth. Repairing a damaged tooth can improve your comfort, chewing ability, and much more.
Teeth That Have Been Treated With Root Canals
Once an infection has advanced to the soft tissue within a tooth, a root canal is usually the only way to save the tooth. A crown is usually placed over the weakened tooth to provide added strength and protection.Cosmetic Imperfections
In some cases, patients have cosmetic concerns that solutions such as bonding and veneers in Nashville, TN, cannot conceal. Crowns are a popular cosmetic dentistry treatment because they can conceal imperfections such as an inconsistent shape to restore a beautiful appearance.
Missing Teeth
A dental crown can be attached to a dental implant to replace a single missing tooth. Implant-supported crowns are highly recommended because they also prevent jawbone atrophy. Fortunately, Dr. Newman can both place and restore dental implants in Nashville, TN.
We Use Advanced Tooth-Colored Materials Realistic Results with Our State-of-the-Art Custom-Made Crowns
Instead of the gold crowns and metal crowns of the past, our Nashville, TN, dentists create custom porcelain crowns using IPS Empress®. This advanced glass–ceramic material has been designed to mimic the translucency of teeth, reflect light the same way natural teeth do, and achieve the most realistic results.
Find Out If Crowns Are Right for You
Visit Us for Patient-Centered Dental Care Solutions

The best way to find out if crowns are the right option for your needs is to visit our dental office in Nashville. We can assess your candidacy for dental crowns or suggest alternatives as needed based on your current oral health situation. You can count on our dentists to give you the high-quality dental care you deserve.
To schedule your visit, contact us to set up an appointment.
We Always Focus on What You Need Read 5-Star Reviews From Nashville Dental Patients
Such a pleasant experience! Beautiful office and the staff was very courteous and professional!
View on GoogleVery professional and extremely nice from the moment you step into the office until you leave. I’ve had extensive dental procedures done and could not be happier with my experiences.
View on GoogleHow Crown Costs Are Determined Common Factors That Affect Crown Pricing
There are many variables when it comes to treating compromised teeth with crowns, including:

Materials Used to Create the Custom Crown
While a crown made of premium material like IPS Empress will be exceptionally strong and natural-looking, it typically costs more than a crown made of non-premium material. On the other hand, you can expect a higher-grade material to last longer. During your consultation, we will help you choose the right material for your needs.

Reasons for Treatment with Dental Crowns
If you need a crown for medical reasons, your insurance policy should cover at least a portion of treatment. However, if you are receiving your crown for cosmetic reasons, you can expect to pay for treatment out-of-pocket.

Traditional or Implant-Supported Crowns
While dental bridges are traditionally used to replace single lost teeth, many patients are turning to dental implant-supported crowns due to the one-of-a-kind benefits implants provide. This solution can still qualify for insurance coverage of the crown itself, but implants are rarely covered.
Are There Any Risks?

Crowns carry minimal risks, but avoiding treatment entirely can be much more dangerous and lead to complications like pain or even tooth loss.
Issues with Root Canal Treatment
One main risk has to do with an infected tooth or teeth following root canal treatment. If the underlying infection is not completely removed, the crown will need to be removed and replaced. If this happens, the decay that remains under the restoration can spread and cause further dental health problems.
Improper Crown Placement
The second risk of treatment is incorrect placement. If a crown is not placed correctly, it may not fit well. Having a poorly fitted crown can leave a patient more vulnerable to new decay. The surest way to avoid this issue is to trust your care to our reputable and experienced dental practice.
Get the Info You Need About Dental Crowns
Discuss Cost and Other Concerns with Our Nashville Team

If you're worried about getting a dental crown or the impact it may have on your budget, we understand. Our entire team can provide answers to your questions and help you get the precise treatment you need. We want you to smile with renewed confidence and experience relief from pain and tooth sensitivity.
To go over the dental crown procedure, contact our Nashville dental office. We can discuss dental crown costs and how to avoid potential risks down the road.
Cutting-Edge Dentistry Hear From a Crowns Patient at Our Green Hills Office
"Just finished a series of crown and veneer repairs from mistakes other dentists made... Dr Newman and Underwood are cutting edge and experienced. You leave looking great and feeling respected. I’m grateful for them giving me my smile back."
Clayton T., 5-Star Google Review
What to Expect during the Crown Procedure
In most cases, crowns are placed in two office visits. During these appointments, you can expect:
Our trusted Nashville dental team provides crowns made out of natural-looking IPS Empress porcelain.
See Crown Placement in Action

How to Take Care of Your Dental Crown
Taking care of your crowns is as easy as taking care of your natural teeth. You can brush them just as you do the rest of your smile. Be sure to use a soft-bristled toothbrush and a minimally abrasive toothpaste to help prolong the lifespan of your custom crown.
One important consideration is to be gentler when flossing around a crown. Too much force can compromise its snug fit over the underlying tooth. Careful flossing or the use of a water flossing system may be helpful for protecting your crown while practicing oral hygiene.
Finally, be sure to stop by our dental office in Green Hills for regular cleanings and exams. We can check the condition of your crown and let you know if it needs to be replaced.

What Are You Waiting For? A Crown Can Save Your Smile
If you are experiencing pain or sensitivity due to severe tooth decay or trauma, a porcelain restoration can provide long-lasting relief. Don't delay. Postponing a visit to the dentist can worsen your oral health and require more costly dental treatments.
To talk to our dentists about crowns, request your appointment online or call us at:
Combining Clinical Skill and Compassion Our Nashville Team Revitalizes Patients' Smiles and Confidence
“Cannot recommend Dr. Newman and his team enough! Everyone is so kind and friendly; and the office is incredibly efficient - I’ve been going to Dr. Newman for years and have never once had to wait for my appointment. After suffering some dental injuries in an accident a few years ago, Dr. Newman and his team were so gentle and considerate of what I was going through. They helped me keep my natural teeth safe and clean after the accident and I’m so, so grateful to them. If you’re in Nashville and looking for a new dentist, look no further because Dr. Newman is truly the best.”
Implant-Supported Crowns: How They Work And How They Can Help
A traditional dental crown is secured onto a natural tooth, but what happens if your tooth is missing entirely? In that case, we offer crowns supported by dental implants for single-tooth replacement.
We Place Dental Implants Request a Surgical Consultation
Not all dentists are qualified to place implants, meaning they have to refer out to local oral surgeons. That's not the case at our advanced practice. Our Nashville dentists can conduct the whole treatment in our welcoming office, giving you a team you can trust through your crown journey. To get started, request a consultation with Dr. Underwood or Dr. Newman.
We Guide You Through the Process Another Crown Patient Shares Her Experience
"Great experience as always. Dr. Newman and his staff are very professional, knowledgeable and caring. I just had a crown prepped and they are very efficient and explain all procedures. I highly recommend them!" – Judy, 5-Star Review
Dental Crown FAQ
Does getting a crown hurt?
No! Crown placement is not especially painful, and your tooth and surrounding gum tissue will be thoroughly numbed as a preventative measure. If dental anxiety or sensitive teeth are giving you pause about the procedure, we can discuss how our sedation options can keep you calm and comfortable.
Can I replace a traditional crown made of metal with a tooth-colored crown?
Yes. If you have an old porcelain-fused-to-metal or all-metal crown, we can replace that restoration with a new one made from IPS Empress. Your new crown will be durable and aesthetically pleasing.Can dental crowns be whitened?
No, dental crowns and dental restorations of any kind cannot be whitened like real teeth, but keep in mind that Dr. Newman is an elite cosmetic dentist who prioritizes seamless results. Your crowns can be designed to match the precise shade of your natural teeth. You can also opt for crowns that are slightly brighter, and we can first match the surrounding teeth to them through professional teeth whitening. Combine dental crowns with other treatments for a full mouth reconstruction or smile makeover in Nashville, TN.
I have more than one missing tooth. Can I get multiple implants and crowns?
You absolutely can, but depending on which teeth are missing, your dentist may be able to provide a more efficient solution in the form of an implant-supported dental bridge or partial implant denture. These restorations are made from the same industry-leading materials as our dental crowns and designed with the same care for your unique needs.
Have a Crowns Question We Didn't Answer?
Dental crowns are one of the most versatile treatments in dentistry, so it's natural to have all sorts of different questions about them. If you have a question that wasn't addressed here, send our Nashville office a message, and a member of our team will get back to you quickly.
See What Keeps Patients Coming Back
Nashville Knows We Offer Excellent Dentistry in Green Hills
“Dr. Newman and his team are fantastic—quick, professional, and incredibly friendly. Highly recommend for anyone looking for top-notch dental care!”







